Naujiena „Vision Express“
Jūsų akių sveikatai – revoliucinė „iCare DRSplus“ diagnostika!
Su didžiausiu džiaugsmu pranešame savo klientams Vilniuje ir visoje Lietuvoje apie išskirtinę naujieną! „Vision Express“ optikos salonas, įsikūręs prekybos centre „Panorama“ Vilniuje, pristato naujos kartos tinklainės tyrimų technologiją – „iCare DRSplus“.
Tai didžiulis žingsnis į priekį, leidžiantis mums pasiūlyti Jums dar aukštesnio lygio, tikslesnę ir išsamesnę akių patikrą.
Kas yra „iCare DRSplus“ ir kodėl tai svarbu Jums?
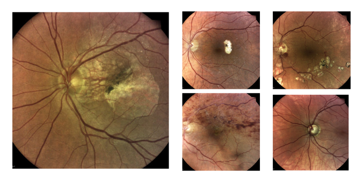
„iCare DRSplus“ – tai pažangi skenavimo sistema, naudojanti „TrueColor“ technologiją, kuri užtikrina išskirtinai aukštos raiškos, detalius ir realias spalvas atspindinčius tinklainės vaizdus.
Testavimo šiuo aparatu tiklsas – kad pastebėjus ankstyvus pakitimus akyse, klientas galėtų laiku kreiptis į oftalmologą ir užkirsti kelią rimtesnėms akių ligoms.
Anksčiau tokio lygio detalumas buvo pasiekiamas tik specializuotose klinikose, o dabar ši technologija prieinama Jūsų įprastos patikros metu „Vision Express“ salone.
Siekdami aukščiausio tikslumo ir ankstyvos diagnostikos, „Vision Express“ „iCare DRSplus“ aparatą naudoja kartu su inovatyvia „iCare RETCAD“ dirbtiniu intelektu (DI) pagrįsta programine įranga.
Šis galingas derinys reiškia, kad Jūsų tinklainės nuotrauka ne tik nufotografuojama – ji akimirksniu išanalizuojama ieškant pačių ankstyviausių ligų požymių.
Užsiregistruoti regėjimo patikrinimui
Didžiausi privalumai Jums, kaip klientui:
-
Tyrimas BE akių vyzdžių plėtimo! Daugiau jokių nemalonių lašų, po kurių reikia laukti, kol atsistatys regėjimas. Su „iCare DRSplus“ tyrimas atliekamas per itin siaurą vyzdį (vos 2,5 mm), todėl Jums nereikės lašinti lašų. Po patikros iš karto galėsite sėsti prie automobilio vairo ar grįžti prie kasdienių darbų – Jūsų regėjimas nebus sutrikdytas.
-
Išskirtinis komfortas ir greitis. Pamirškite ilgas ir varginančias procedūras. Tyrimas su „iCare DRSplus“ yra visiškai automatizuotas, greitas ir nereikalauja jokio specialaus pasiruošimo.
-
Neprilygstamas tikslumas – pamatykite ligą anksčiau. „TrueColor“ technologija leidžia mūsų specialistams matyti Jūsų tinklainę kaip niekada aiškiai. Tai reiškia, kad galime pastebėti pačius ankstyviausius ir smulkiausius pokyčius, kurie gali signalizuoti apie tokias rimtas akių ligas kaip glaukoma, diabetinė retinopatija ar amžinė geltonosios dėmės degeneracija. Naujų technologijų dėka galima pastebėti pokyčius labai ankstyvose stadijose.
-
Aiškus vaizdas net esant kataraktai. Įprastoms kameroms kartais būna sudėtinga gauti aiškų vaizdą, jei akyje pradėjusi formuotis katarakta (akies lęšiuko padrumstėjimas). „iCare DRSplus“ technologija geba „prasiskverbti“ pro šiuos padrumstėjimus ir pateikti aiškų tinklainės vaizdą, užtikrinant tikslią diagnostiką net ir sudėtingesniais atvejais.

„Vision Express“ rūpinasi Jūsų regėjimu
Investuodami į tokias pažangias technologijas kaip „iCare DRSplus“, mes tesime savo pažadą – suteikti Jums aukščiausios kokybės regėjimo priežiūros paslaugas. Mums svarbu ne tik parinkti Jums tinkančius akinius ar kontaktinius lęšius, bet ir rūpintis ilgalaike Jūsų akių sveikata.
Kviečiame Jus registruotis akių patikrai „Vision Express“ optikos salone, esančiame PC „Panorama“ Vilniuje, ir patiems išbandyti šios revoliucinės diagnostikos privalumus.